Пн-Вс: 09:00 - 21:00
г. Киев, Берестейский проспект, 26
Записатися на консультацію

Ортопедия

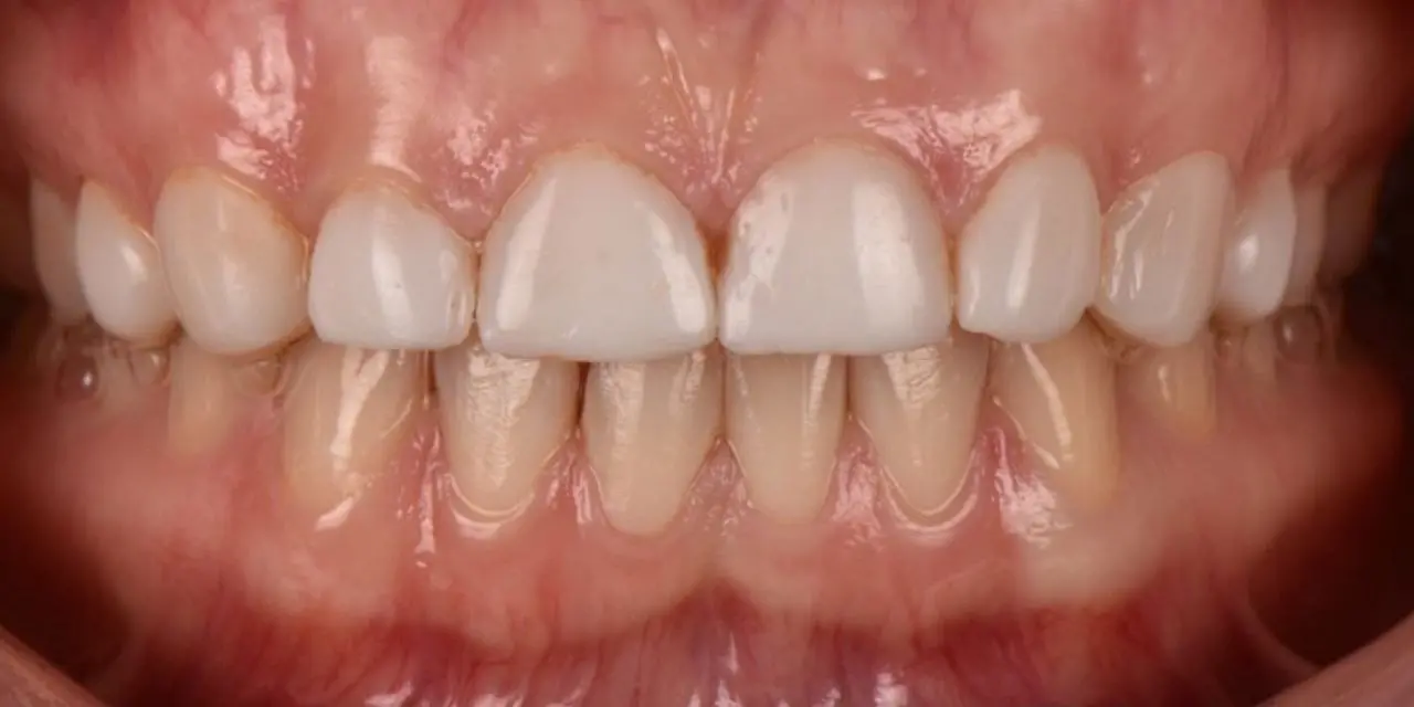
Ортопедическая стоматология занимается диагностикой и лечением различных дефектов зубов. Это широкий спектр стоматологических услуг: виниры, коронки, мостовидные протезы, люминиры — любые виды протезирования. В том числе воспроизведение одного или нескольких зубов, восстановление функции жевательного аппарата, коррекция цвета и формы зубов.

Основная задача ортопедической стоматологии — это восстановленные красивые, здоровые зубы, которые невозможно отличить от природных и естественных

  • Коронки на имплантах

    Изготовление отдельных коронок с опорой на имплантах позволяет отказаться от мостовидных протезов, для изготовления которых надо опиливать соседние зубы

  • Восстановление зубных рядов при полном отсутствии зубов

    Можно отказаться от некомфортных съемных протезов, которые надо снимать на ночь, установив всего 4 или 6 имплантов в челюсть и изготовить на них комфортные красивые коронки и вернуть себе качество жизни

  • Цифровой протокол и увеличение в ортопедии

    Мы используем цифровой дентальный сканер и фотопротокол, а также дентальный микроскоп, чтобы точность ортопедических была безупречной. Используя эти технологии мы выводим уровень ортопедических работ на один из высших в мире.

  • Изготовление керамических реставраций

    Изготовление керамических реставраций, или «керамических пломб» позволяет надежно восстановить зуб, не опиливая его под коронку.

Стоимость

  • Зубные коронки

    • Коронки циркониевые

      от 12500 ₴
    • Коронки керамические

      от 12500 ₴
  • Вкладки/накладки зубные

    • Керамическая накладка

      от 12500 ₴
    • Циркониевая накладка

      от 12500 ₴
  • Несъемный мостовидный зубной протез на 3 коронки

    • Керамические несъемные мостовидные протезы на 3 зуба

      от 37500 ₴
    • Циркониевые несъемные мостовидные протезы на 3 зуба

      от 37500 ₴
  • Полное протезирование на имплантах

    • Имплантация и полное протезирование на 4 имплантах

      от 250000 ₴
    • Имплантация и полное протезирование на 6 имплантах

      от 350000 ₴
    • Имплантация и полное протезирование на 6 имплантах

      от 450000 ₴
  • Мост на имплантах

    • Керамический мост на имплантах

      от 40500 ₴
    • Циркониевый мост на имплантах

      от 40500 ₴
  • Коронки на имплантах

    • Коронки керамические на имплантах

      от 12500 ₴
    • Коронки циркониевые на имплантах

      от 12500 ₴

Мишустин
Андрей Андреевич

Постоянно совершенствует свои навыки и знания, посещая международные семинары и мастер-классы.

Записаться на консультацию

Результаты клиентов

    • Ортопедия
    • Мишустин Андрей
    • Ортопедия
    • Мишустин Андрей
    • Ортопедия
    • Мишустин Андрей

Хотите узнать всё о состоянии ваших зубов?

Оставьте контактные данные, чтобы получить бесплатный обзор и профессиональную консультацию

Комплексная гигиена и фторирование — 3000 ₴ вместо 4000 ₴

Хотите сохранить свежесть, чистоту и здоровый вид улыбки?
В Seven Dent действует специальное предложение на профессиональную гигиену зубов с фторированием.

В стоимость включено:

✔ комплексная чистка зубов
✔ удаление налёта
✔ полировка эмали
✔ фторирование для дополнительной защиты зубов

Запишитесь в Seven Dent и позаботьтесь о своей улыбке уже сейчас.

Спасибо за вашу заявку!

Мы ценим ваше доверие и готовы помочь вам на пути к здоровой и сияющей улыбке. Наши специалисты свяжутся с вами в ближайшее время для подтверждения записи и уточнения всех деталей.